Aug 07, 2025
We spend billions on sleep aids and anti-aging treatments, yet we're unknowingly calcifying the very gland that naturally produces our most powerful sleep hormone and antioxidant—all through something as simple as brushing our teeth and checking our phones.
Article at a Glance
The Problem: Your pineal gland—which produces melatonin for sleep and brain health—is likely calcifying from fluoride in drinking water and EMF exposure from wireless devices, leading to insomnia, mood disorders, and accelerated aging.
The Science: New research shows pineal calcification is both preventable and reversible: fluoride accumulates 600x more in the pineal than other tissues, while EMFs suppress melatonin production—but studies demonstrate regeneration is possible within 8-12 weeks.
The Solution: Filter fluoride from water, create an EMF-free bedroom, supplement with magnesium and vitamin K2, maintain natural light/dark cycles, and support detoxification with specific nutrients to restore your pineal function and melatonin production.
The Modern Epidemic No One's Talking About
The pineal gland—a rice-grain-sized organ nestled in your brain's center—was revered by ancient cultures as the "third eye" and by René Descartes as the "principal seat of the soul." He reasoned that its singular, central position made it the meeting point of mind and body. Even the Vatican features a giant pine cone statue, possibly acknowledging the pineal's pinecone shape and spiritual significance.
Modern science confirms this tiny gland is extraordinary. It produces melatonin, a hormone so crucial that Greenmedinfo.com's database documents its therapeutic benefits in over 400 health conditions. Melatonin isn't just for sleep—it's your body's most powerful antioxidant, protecting mitochondria, regulating over 500 genes, and even influencing consciousness itself through its link to dream states and possibly endogenous DMT — the so-called ‘spirit molecule’ — production.
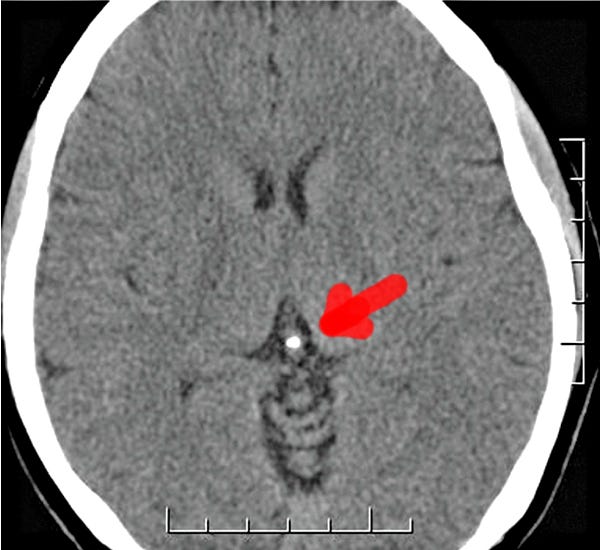
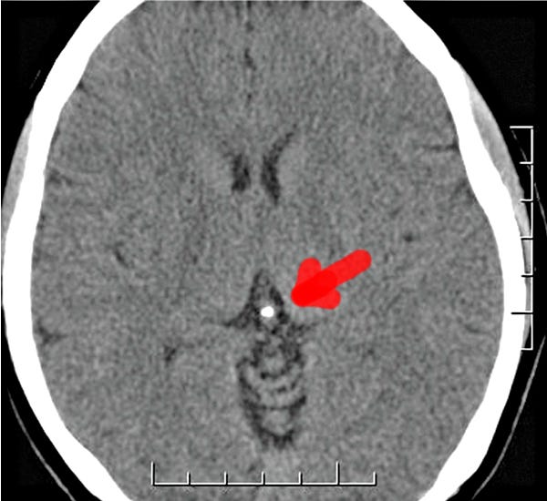
Here's what should alarm everyone: According to a 2023 systematic review and meta-analysis, pineal calcification now affects 33% of teenagers, 60% of 40-year-olds, and over 70% of seniors.[1] Even more disturbing—8% of children under 10 already show calcification on brain scans. In some populations, the rates are even higher, with certain regions showing up to 85% calcification in adults.
The pineal is uniquely vulnerable because, unlike most brain tissue protected by the blood-brain barrier, it has direct exposure to the bloodstream—it receives blood flow second only to the kidneys. This means nutrients reach it easily, but so do toxins, and the pineal has evolved special cells (pinealocytes) that structurally resemble the photoreceptor cells in your eyes, making it literally a light-sensitive organ deep in your brain.
The Fluoride Bombshell: How We're Turning the Third Eye to Stone
In 2001, British scientist Jennifer Luke's groundbreaking PhD thesis should have revolutionized public health policy, but it was largely ignored by authorities. Her meticulous autopsy studies on 11 elderly subjects revealed something astounding: the human pineal gland accumulates more fluoride than any other soft tissue in the body.
The numbers are staggering:
Pineal glands contained an average of 297 mg fluoride per kilogram (wet weight)
Adjacent muscle tissue: only 0.5 mg/kg
That's a 600-fold higher concentration
Calcium levels averaged 16,000 mg/kg, indicating massive calcification[5]
But it gets worse. A 2020 review in Applied Sciences stated bluntly that the pineal is "the most fluoride-saturated organ of the human body," with some calcified deposits containing fluoride concentrations of 20,000 mg/kg—so high that the fluoride-to-calcium ratio exceeds that of bones.[3]
The mechanism is insidious: The pineal naturally contains hydroxyapatite crystals—the same calcium-phosphate compound in teeth and bones. These crystals give the healthy pineal its "sand-like" appearance on scans and may serve a biological function (some theorize they're piezoelectric, converting mechanical pressure to electrical signals). But fluoride has an exceptionally high affinity for hydroxyapatite. Every time you drink fluoridated water (0.7-1.2 ppm in most US cities), brush with fluoride toothpaste (1,000-1,500 ppm), or eat processed foods made with fluoridated water, you're feeding a 24/7 calcification process.
Luke's animal studies revealed the functional consequences. Mongolian gerbils given fluoride showed:
Significantly reduced nighttime melatonin production
Earlier onset of puberty (females reached sexual maturity faster)
Altered circadian rhythms[5]
In humans, the correlation is clear. The 1999 Kunz study measured urinary melatonin metabolites (6-sulfatoxymelatonin) in patients with varying degrees of pineal calcification:
Minimal calcification: Normal melatonin rhythm, good sleep
Heavy calcification: 50% lower melatonin output, severe insomnia, reduced REM sleep[6]
Most disturbing: Girls in fluoridated communities reach menstruation on average 5 months earlier than those in non-fluoridated areas—exactly what Luke's animal model predicted. Early puberty is associated with increased cancer risk, psychological problems, and shorter adult height.
The Greenmedinfo.com fluoride toxicity database contains research on over 130 conditions linked to fluoride exposure, from lowered IQ to hypothyroidism. The pineal connection may explain many of these effects, as melatonin influences everything from immune function to DNA repair.
The EMF Assault: How Your Devices Are Hijacking Your Circadian Biology
While fluoride physically calcifies the pineal, electromagnetic fields (EMFs) cause functional disruption through sophisticated mechanisms that scientists are only beginning to understand. The evidence spans decades and includes some remarkable natural experiments.
The Schwarzenburg Revelation
The most compelling proof came from an accidental experiment in Schwarzenburg, Switzerland. For years, residents near a powerful shortwave radio transmitter (broadcasting at 6-22 MHz with a power of 150 kW) complained of insomnia, headaches, and fatigue. Scientists decided to measure their melatonin before and after a planned shutdown:
During transmission:
Salivary melatonin suppressed by 10% on average
Poor sleep quality scores
Increased anxiety and depression
Effect strongest in "electrosensitive" individuals
After shutdown:
Melatonin rebounded 15% within days
Dramatic sleep improvement
Mood normalization
Changes most pronounced in poor sleepers[9]
This wasn't a laboratory study—it was an entire community recovering from chronic EMF exposure.
Your Cell Phone: A Melatonin Suppressor
Modern-day exposure far exceeds that of the Swiss transmitter. Today's smartphones operate at frequencies ranging from approximately 700 to 2600 MHz (4G) and extending up to nearly 40 GHz (5G), often held directly against the skull—placing the device only about 7 cm away from the pineal gland located centrally in your brain. And with ubiquitous smart phone screen time usage, the line of sight is directly in front of the pineal gland, a massive cause for concern, given the topic of this article.
Moreover, studies reveal dose-dependent effects:
>25 minutes daily phone use: Significant nighttime melatonin reduction
<5 minutes daily: No measurable effect
Using speakerphone: 10x less radiation exposure to brain[9]
The mechanism involves what scientists call the "radical pair mechanism"—a quantum biological process where magnetic fields alter electron spin states in chemical reactions. EMFs increase production of reactive oxygen species (ROS) while simultaneously interfering with melatonin's ability to neutralize them. It's a double assault: more free radicals, less antioxidant defense.
Research published in Current Neuropharmacology (2022) by Jammoul & Lawand synthesized decades of studies, concluding that melatonin acts as a "shield against electromagnetic waves" but can be overwhelmed by chronic exposure.[10] They found:
RF radiation at 12-18 GHz (5G range) suppresses melatonin more than lower frequencies
Pulsed signals (like cell phones) are worse than continuous waves
Children's thinner skulls allow 10x more radiation penetration
If you want to dive deep into EMF research, Greenmedinfo.com hosts over 1,000 studies demonstrating biological effects from non-ionizing radiation—everything from DNA breaks to blood-brain barrier disruption.
The Calcium Channel Crisis
Perhaps most concerning is how EMFs affect calcium regulation. Voltage-gated calcium channels (VGCCs) in cell membranes can be forced open by EMF exposure, causing calcium influx. In the pineal, this creates a vicious cycle:
EMFs trigger calcium channel opening
Excess intracellular calcium causes oxidative stress
Oxidative stress promotes calcification
Calcification reduces melatonin production
Less melatonin means less protection against further damage
The Hidden Symphony: What Else Your Pineal Does
While melatonin gets the spotlight, the pineal gland produces other remarkable compounds:
Pinoline: A beta-carboline that may enhance dream recall and has MAO-A inhibiting properties (potentially mood-elevating)
5-MeO-DMT: Dubbed the "God molecule," this powerful psychedelic compound has been detected in pineal tissue, though whether humans produce significant amounts remains controversial
Epithalamin: A peptide that extended lifespan 25% in animal studies and is being researched for anti-aging properties
When the pineal calcifies, production of these compounds likely diminishes along with melatonin. Some researchers theorize this explains why children have such vivid imaginations and dreams—their uncalcified pineals are operating at full capacity.
The Recovery Protocol: From Stone to Functional
Phase 1: Emergency Cessation (Weeks 1-2)
Fluoride Elimination Blueprint:
Water: Install or use a tabletop reverse osmosis device. Spring water as temporary alternative.
Calculate your load: Average American ingests 2-5mg fluoride daily. Your goal: <0.5mg
Dental overhaul: Fluoride-free toothpaste saves you 2mg daily exposure. Brands: Dr. Bronner's, Jason, Tom's (fluoride-free versions)
Kitchen audit: Replace ALL Teflon/non-stick cookware (releases fluoride compounds when heated above 400°F)
Beverage check: Avoid instant tea (up to 6mg/L fluoride), cheap wine, grape juice, mechanically-deboned chicken. And remember, anything cooked in tap water likely contains fluoride residues (not to mention hundreds of other disinfectant byproducts).
EMF Triage:
Bedroom sanctuary: WiFi router minimum 30 feet from bed, or better: hardwired ethernet + WiFi off
Phone discipline: Airplane mode at night, speakerphone always, carry in bag not pocket
Measure it: $150 EMF meter shows your exposure (aim for <1 mW/m² in bedroom)
5G zones: Map local 5G towers using antennasearch.com, minimize time in high-exposure areas
Phase 2: Active Decalcification (Weeks 3-12)
Core Supplement Stack:
Magnesium (400-600mg before bed)
Mechanism: Inhibits crystal formation, dissolves existing calcification
Form: Glycinate or threonate (crosses blood-brain barrier)
Study: 40% reduction in arterial calcification with magnesium supplementation[11]
Vitamin K2 MK-7 (200-300mcg with dinner)
Mechanism: Activates Matrix GLA Protein which prevents soft tissue calcification
Synergy: Take with Vitamin D3 (2000-5000 IU)
Study: 52% lower coronary calcification with high K2 intake[12]
Iodine (150-500mcg morning, work up slowly)
Mechanism: Competitively displaces fluoride from tissues
Source: Kelp, Lugol's solution, or nascent iodine
Warning: Start low to avoid detox reactions
Boron (3-9mg throughout day)
Mechanism: Forms boron-fluoride complexes for urinary excretion
Source: Use an amino-bound supplement form like boron glycinate.
Bonus: Increases free testosterone and vitamin D
Detox Accelerators:
Tamarind (10-20g paste daily)
Studies show 40% increase in urinary fluoride excretion
Mix with water as morning drink
Alternative: Tamarind tea throughout day
Turmeric (1000mg curcumin with black pepper)
Protects against fluoride neurotoxicity specifically
Reduces pineal inflammation
Greenmedinfo.com documents turmeric's protection against fluoride-induced brain damage
Sweating Protocols:
Infrared sauna: 140°F for 20-30 minutes, 3x weekly
Exercise to sweat: Fluoride exits through perspiration
Studies show 20% reduction in body burden through regular sweating
Phase 3: Regeneration & Optimization (Weeks 12+)
Melatonin Restoration:
Start supplementation strategically:
Microdose: 0.3mg (physiological replacement)
Therapeutic: 3-5mg (for active repair)
Timing: 30-90 minutes before desired sleep
Form: Sublingual for faster absorption
Duration: 3-6 months while pineal recovers
Circadian Synchronization:
Morning: 10,000 lux light exposure within 30 minutes of waking (even cloudy days work)
Evening: Dim lights after sunset, f.lux on screens, amber glasses if necessary
Night: Complete darkness (0.1 lux or less)—use blackout curtains, tape over LEDs
Advanced Techniques:
Sun Gazing (controversial but historically significant):
Ancient practice across cultures
Hypothesis: Morning/evening sun stimulates pineal through optic pathway
Modern approach: Look near (not at) sun during safe hours (sunrise/sunset)
Start with 10 seconds, increase gradually
Meditation on the Third Eye:
Focus attention on point between eyebrows
Increases blood flow to pineal region (measured via fMRI)
Advanced practitioners report pressure sensations, light perception
Some link this to endogenous DMT release (unproven but intriguing)
Intermittent Fasting:
16:8 or 18:6 eating window (e.g. 16:8, you might skip breakfast, have lunch at noon, dinner by 8pm, then nothing until noon the next day. It's essentially skipping breakfast and not eating after dinner)
Enhances pineal sensitivity to light/dark cycles
Increases nighttime melatonin surge
Bonus: Autophagy may help clear calcified debris
Timeline of Transformation
Week 1: Vivid dreams return (REM sleep increasing)
Week 2: Falling asleep becomes easier
Week 4: Morning grogginess disappears
Week 8: Mood stabilizes, anxiety decreases noticeably
Month 3: Cognitive clarity, improved memory
Month 6: Hormonal improvements (women: regular cycles, men: morning testosterone rise)
Month 9:Enhanced intuition, creativity (frequently reported)
Month 12: Possible measurable reduction in calcification on CT scan
The Bigger Picture: A War on Consciousness?
When you consider that:
Water fluoridation began in 1945 despite scientific opposition
No other medication is added to public water supplies
Most European countries rejected fluoridation and have similar or better dental health
The wireless industry has captured regulatory agencies like the tobacco industry once did
Pineal calcification correlates with reduced critical thinking and increased compliance
...it raises uncomfortable questions about whether the calcification of humanity's third eye is entirely accidental.
The ancients called the pineal the gateway to higher consciousness. Modern science shows it produces compounds that regulate not just sleep but neuroplasticity, pattern recognition, and possibly transcendent experiences. When 33% of teenagers—digital natives who've never known life without WiFi—already have calcified pineals, we're witnessing an unprecedented experiment on human consciousness.
Your Third Eye Awaits
The research is clear: pineal calcification is not inevitable, and it's not irreversible. In just 8 weeks, those fluoride-damaged rats showed pineal regeneration.[8] Humans following comprehensive protocols report transformative changes within months.
You have a choice. You can accept the modern epidemic of sleep disorders, brain fog, and spiritual disconnection as "normal aging." Or you can take simple, science-based steps to protect and restore the gland Descartes called the seat of the soul.
Filter your water. Minimize EMF exposure. Take targeted nutrients. Honor natural light cycles. These aren't radical acts—they're a return to the conditions under which your pineal evolved to function.
Your third eye doesn't have to turn to stone. The ancient mystics and modern scientists agree on this: the pineal gland is special. Now you know how to keep it that way.
References
[1] Belay, Dereje G., and Mamaru G. Worku. "Prevalence of Pineal Gland Calcification: Systematic Review and Meta-Analysis." Systematic Reviews 12, no. 1 (2023): 32. https://doi.org/10.1186/s13643-023-02205-5.
[2] Tan, Dun-Xian, et al. "Pineal Calcification, Melatonin Production, Aging, Associated Health Consequences and Rejuvenation of the Pineal Gland." Molecules 23, no. 2 (2018): 301. https://www.mdpi.com/1420-3049/23/2/301.
[3] Chlubek, Dariusz, and Maciej Sikora. "Fluoride and Pineal Gland." Applied Sciences 10, no. 8 (2020): 2885. https://doi.org/10.3390/app10082885.
[4] Mahlberg, Richard, et al. "Degree of Pineal Calcification Is Associated with Polysomnographic Sleep Measures in Primary Insomnia Patients." Sleep Medicine 10, no. 4 (2009): 439–45. https://pubmed.ncbi.nlm.nih.gov/19249556/.
[5] Luke, Jennifer A. "Fluoride Deposition in the Aged Human Pineal Gland." Caries Research 35, no. 2 (2001): 125–32. https://pubmed.ncbi.nlm.nih.gov/11275672/.
[6] Kunz, D., et al. "A New Concept for Melatonin Deficit: On Pineal Calcification and Melatonin Excretion." Neuropsychopharmacology 21, no. 6 (1999): 765–72. https://pubmed.ncbi.nlm.nih.gov/10481836/.
[7] Shivashankara, A. R., et al. "Relationship between Fluoride Levels, Oxidative Stress and Antioxidant Defense in Patients with Skeletal Fluorosis." Fluoride 33, no. 1 (2000): 17–26.
[8] Bharti VK, Srivastava RS, Kumar H, Bag S, Majumdar AC, Singh G, Pandi-Perumal SR, Brown GM. Effects of melatonin and epiphyseal proteins on fluoride-induced adverse changes in antioxidant status of heart, liver, and kidney of rats. Adv Pharmacol Sci. 2014;2014:532969. doi: 10.1155/2014/532969. Epub 2014 Mar 26. PMID: 24790596; PMCID: PMC3984810.
[9] Jammoul, Maya, and Nada Lawand. "Melatonin: A Potential Shield Against Electromagnetic Waves." Current Neuropharmacology 20, no. 3 (2022): 648–660. https://doi.org/10.2174/1570159X19666210609163946.
[10] Altpeter, Elisabet S., et al. "Effect of Short-Wave (6–22 MHz) Magnetic Fields on Sleep Quality and Melatonin Cycle in Humans: The Schwarzenburg Shut-Down Study." Bioelectromagnetics 27, no. 2 (2006): 142–50. https://pubmed.ncbi.nlm.nih.gov/16342198/.
[11] Jahnen-Dechent, Wilhelm, and Markus Ketteler. "Magnesium Basics." Clinical Kidney Journal 5, Suppl 1 (2012): i3–i14. https://doi.org/10.1093/ndtplus/sfr163.
[12] Beulens, J. W., et al. "High Dietary Phylloquinone and Menaquinone Intakes Are Associated with Reduced Coronary Calcification." Journal of Nutrition 139, no. 6 (2009): 1203–8. https://doi.org/10.3945/jn.108.099218.
[13] Schwager, Joseph, and Laura Mohajeri. "Phytate and Phytase in Health and Disease: Evidence of Benefit and Potential Risks." International Journal of Environmental Research and Public Health 17, no. 23 (2020): 9434. https://doi.org/10.3390/ijerph17239434.
[14] Kööbi, Tiit, et al. "Pineal Calcification and Its Association with Stress." Psychosomatic Medicine 63, no. 4 (2001): 688–93. https://pubmed.ncbi.nlm.nih.gov/11485116/.
[15] Payne, Martha E., et al. "Calcium and Vitamin D Intakes May Be Positively Associated with Brain Lesions in Depressed and Nondepressed Elders." Nutrition Research 34, no. 3 (2014): 285–95. https://doi.org/10.1016/j.nutres.2014.01.007.








No hay comentarios:
Publicar un comentario